Therapie von Platt- und Hohlfüßen
Der Plattfuß (Pes Planovalgus) ist eine Zivilisationskrankheit mit Folgen
Knick und Senkfüße sind fast immer zivilisationsbedingt. Während der flexible kindliche Plattfuß in der Regel eine physiologische Durchgangsform ist können bei Erwachsenen erhebliche Probleme entstehen. Häufig wird die Fehlstellung einfach in Kauf genommen, Knieprobleme treten auf und das Laufen wird im Alter zur Qual. Durch einen falschen Gang werden nicht nur die Füße, sondern auch Knie und Hüfte geschädigt. Viel zu häufig wird übersehen, dass die Füße das Fundament für eine gesunde Körperstatik sind.
Zunächst schmerzt die Sehne
Der Knick-Senkfuß beim Erwachsenen entwickelt sich in der Regel durch eine schmerzhafte Insuffizienz der M. Tibialis posterior Sehne. Die Sehne verläuft an der Innenseite unter den Fuß und stützt das Fußlängsgewölbe ab. Sie sorgt beim Gehen für die notwendige Stabilität um sich richtig abstoßen zu können. Insbesondere Übergewicht und Verschleiß dieser Sehne führen zum Bild der klassischen Knick-Senkfußdeformität. Es kommt zu kleinen Teileinrissen auf dem Boden einer chronischen Tendinitis (Sehnenentzündung) oder Tenosynovitis (Sehnenschleimhautentzündung).
Ein akutes Trauma mit kompletten Riss der Sehne mit nachfolgendem Kraftverlust sind die Ausnahme.

Abb.1: Die MRT zeigt eine chronische Entzündung der Sehne mit Erguss (Pfeil).
Die Erkrankung verläuft in 4 Stadien:
1: Typisch sind Schmerzen und Schwellung entlang der Innenseite des Fusses. Die Kraftentwicklung ist bereits für den Einbein-Zehenstand im Seitenvergleich etwas reduziert.
2: Dieses Stadium entspricht der klinisch manifesten Sehneninsuffizienz mit deutlicher Kraftminderung. Klinisch imponiert eine flexible Fehlstellung. Der Einbein-Zehenstand ist nicht mehr möglich.
3: Die Fehlstellungskomponenten sind zumindest teilkontrakt und stärker ausgeprägt, d.h. der Fuss steift zunehmend in der Fehlstellung ein.
4: Zusätzlich treten in diesem Stadium Veränderungen im oberen Sprunggelenk auf.
Blickdiagnose
Klinisch bestehen Druckschmerzen und Schwellungen im Verlauf der Sehne hinter und unterhalb des Innenknöchels. Die Absenkung des Fußlängsgewölbes ist mit bloßem Auge zu sehen. Hinzu kommen eine valgische Fersenfehlstellung und eine vermehrte Vorfußabduktion (Abweichung des Vorfußes nach außen).

Abb.2: Der Vorfuß weicht nach außen ab. Das Fersenbein knickt ein. Das Fußlängsgewölbe ist aufgehoben.
Achsanalyse durch Röntgen Belastungsaufnahmen
In der Röntgendiagnostik werden Belastungsaufnahmen des Fußes zur Bestimmung der Achsverhältnisse durchgeführt. Entscheidend ist das Verhältnis zwischen dem ersten Mittelfußknochen und dem Sprungbein sowie der Öffnungswinkel zwischen Fersenbein und Sprungbein. Die Winkel sind beim Plattfuß vergrößert. Außerdem wird der Gelenkzustand beurteilt.

Abb.3: a Absenkung des Längsgewölbes im Röntgenbild. Krankhafte Veränderung der Knochenachsen.
b Durch eine gelenkerhaltende Operationsmethode (Verlängerung des Fersenbeins (Evans Osteotomie, Calcaneus Verlängerungs Osteotomie) konnte der Fuß wieder aufgerichtet werden.
Wenn die Einlagen nicht mehr helfen
Man wird zunächst eine konservative Behandlung versuchen. An erster Stelle in der Behandlung steht die Einlagenversorgung. Es stehen verschiedene Modelle und Materialien zur Verfügung. Auf jeden Fall sollte die Einlage langsohlig sein und das Längsgewölbe gut abstützten. Weitere konservative Maßnahmen sind Ultraschalltherapie, medikamentöse Entzündungs- und Schmerzbehandlung, eventuell auch eine Kortisoninjektion in die Sehnenscheide. Bei einer akuten Sehnenentzündung kann durch eine vorübergehende Immobilisation in einem Walker oder Gipsverband Linderung geschaffen werden.

Abb.4: Gelenkerhaltende Korrektur eine Plattfußes durch Verschiebung des Fersenbeins (Calcaneusverschiebeosteotomie, Medial Slide Osteotomy), Fixierung des Knochens mir einer winkelstabilen Platte
Das Ziel ist eine gelenkerhaltende Therapie
Führen diese Maßnahmen nicht zum Erfolg, kommen operative Maßnahmen in Betracht. Diese sind im Stadium I die Entfernung oder das Spalten des Sehnenleitgewebes, im Stadium II wird durch eine Fersenbein Umstellung die mechanische Belastungsachse wieder hergestellt. Das Fersenbein wird bei diesem Eingriff um bis zu 15 mm verschoben und mit einer Spezialplatte fixiert (Calcaneusverschiebe osteotomie, Medial slide Osteotomy). Es handelt sich um verlässliche Operationen um die Fehlstellung dauerhaft zu beheben. Die Verschiebung führt zu einer Entlastung der tragenden Sehne und zu einer Korrektur der Rückfußfehlstellung. In gleicher Sitzung werden die überdehnten Weichteile an der Fußinnenseite gerafft und ggf. ein Sehnentransfer durchgeführt. Bei jungen Erwachsenen kann die Rekonstruktion auch durch eine Verlängerung des Fersenbeins (Evans Osteotomie) erfolgen. Die Fixierung erfolgt mit einer Schraube. Bei jugendlichen im Alter zwischen 10 und 15 Jahren ist häufig eine Aufrichtung ohne eine Knochendurchtrennung möglich. Das Verfahren wird als Arthrorise bezeichnet und kann minimalinvasiv durchgeführt werden. Leider quälen sich viele Patienten zu lange und kommen erst dann in die Fußsprechstunde wenn eine deutliche Bewegungseinschränkung und Arthrose im Mittel- und Rückfuß bereits eingetreten ist. In diesen Fällen (Stadium III und IV) können wir nur noch mit einer korrigierenden Arthrodese (Gelenkfusion) helfen. Die Patienten profitieren auch von diesem Eingriff insbesondere bzgl. der Schmerzsymptomatik erheblich, jedoch kann eine leichte Einschränkung beim Gehen verbleiben. Ein spezielles orthopädisches Schuhwerk ist in der Regel nicht notwendig.

Abb.5: a Korrektur des Plattfußes mit Beseitigung der Vorfußabweichung und
b Aufrichtung des Fußlängsgewölbes
Der Hohlfuß (Pes cavovarus)
Die Hohlfußdeformität ist durch eine überhöhte Längswölbung des Fußes gekennzeichnet. Meistens handelt es sich um eine angeborene Fehlstellung die erst im mittleren Lebensalter Beschwerden verursacht. Unentdeckte neurologische Erkrankungen können ebenfalls einen Hohlfuß verursachen oder zu dessen Entstehung beitragen. Ein Klumpfußrezidiv erscheint klinisch auch als Hohlfuß. Zunächst klagen die Patienten über Schmerzen unter der Fußsohle. Insbesondere unter dem ersten und fünften Mittelfußköpfchen kann es zu einer schmerzhaften Schwielenbildung kommen. Eine Vollbelastung des Fußes ist häufig nicht mehr möglich. Durch die vermehrte Spannung der Strecksehnen entstehen Krallenzehen. Wunde Stellen an den Zehenrücken sind das Resultat des vermehrten Schuhdrucks. Die verminderte Beweglichkeit im oberen Sprunggelenk führt zu einem hinkenden Gangbild.

Abb.6: Schmerzhaft empfindliche Schwielen an der Fußsohle.

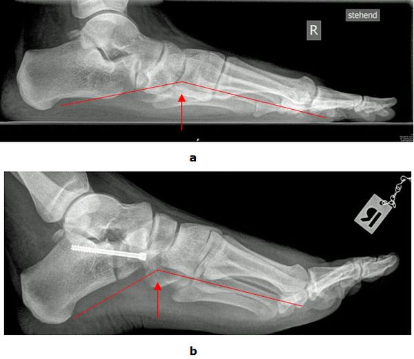
Abb.7: a Erhöhte Fußwölbung und Spitzfußstellung vor der Operation. b Wiederherstellung der Fußform postoperativ
Trotz erheblicher Fehlstellungen können Patienten mit geringen Beschwerden zunächst mit speziellen Einlagen (Stufeneinlage) und/oder orthopädischen Schuhen versorgt werden. Bei starken Beschwerden bedarf es einer operativen Korrektur des Fußes. Die Hohlfußdeformität wird am Scheitelpunkt der Fehlstellung durch die Entnahme eines Knochenkeils korrigiert. Liegt eine zusätzliche Steilstellung des ersten Strahls vor folgt eine zusätzliche Keilentnahme an der Basis des ersten Mittelfußknochens. Durch Eingriffe an den Sehnen werden die Krallenzehen behandelt und die muskuläre Balance des Fußes wieder hergestellt.

Abb.8: a Wiederherstellung der Fußwölbung vor und
b nach der Operation im seitlichen Röntgenbild
Die Nachbehandlung erstreckt sich über einen Zeitraum von 12 Wochen. Ab der 7. Woche postoperativ ist eine Vollbelastung im Gehgips oder Walker möglich.
Häufig gestellte Fragen ?
Wird die Operation ambulant oder stationär durchgeführt ? Die Eingriffe werden in der Regel im Rahmen eines kurzstationären Aufenthalts (2–5 Tage) durchgeführt.
Ist nach der Op die Versorgung mit orthopädischen Schuhen notwendig? Die Mehrzahl der Patienten können nach der Operation einen stabilen Konfektionsschuh tragen.

