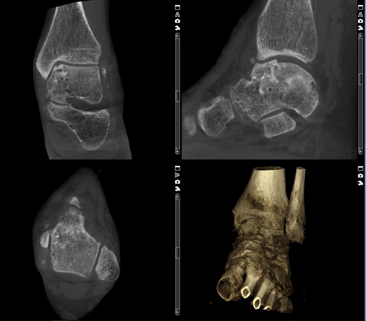
Breites Indikationsspektrum
- Genaue Lokalisation freier Gelenkkörper,
- Erkennung der Früharthritis durch exakte Darstellung der Gelenkflächen,
- Feinste Veränderungen an den kleinen Knochen der Finger und Zehengelenke werden sichtbar,

